
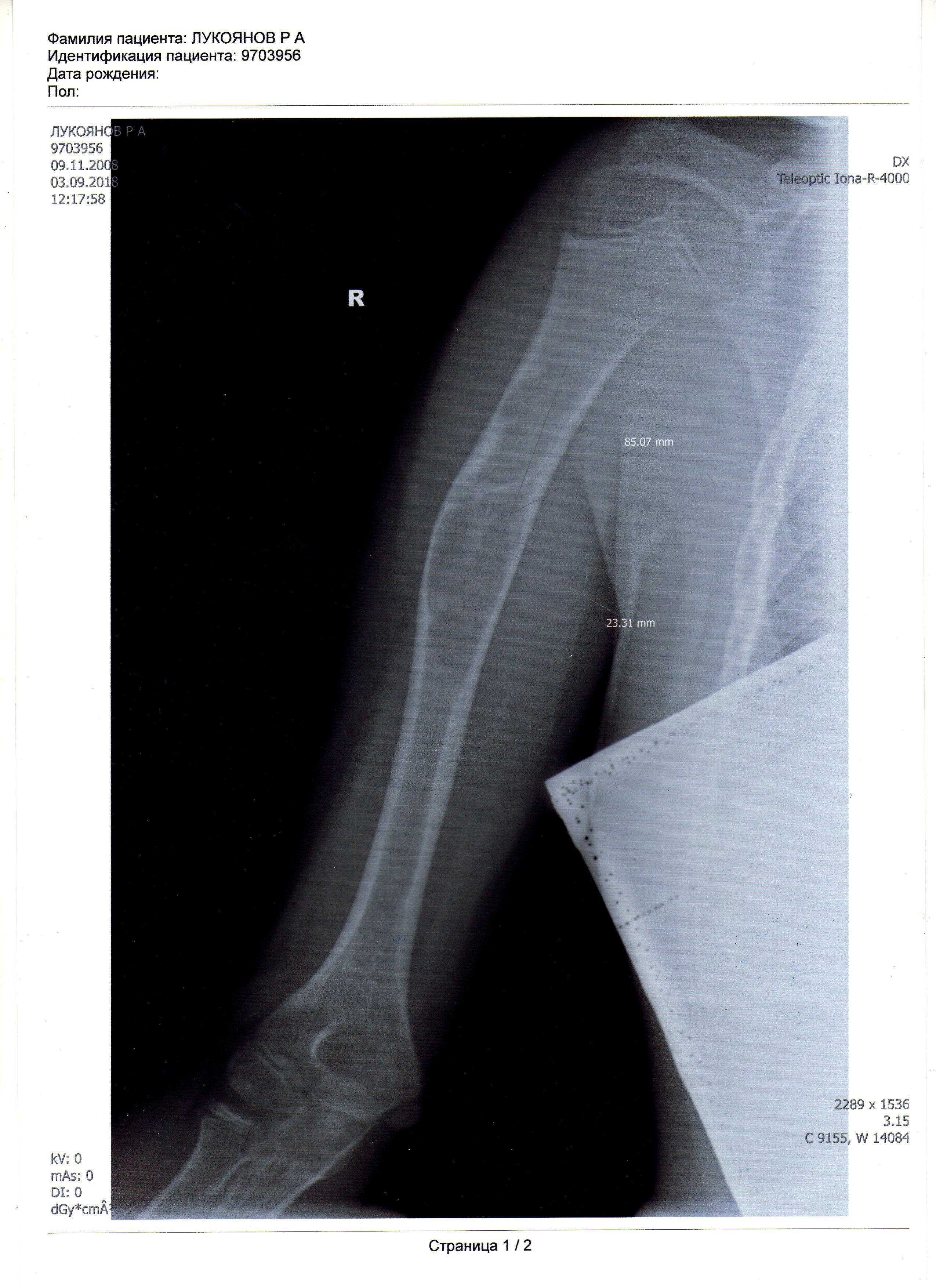
Меня зовут Маргарита, мне 29 лет, я мать-одиночка из малообеспеченной семьи с мамой -инвалидом I группы на руках. Моему сыну Рудольфу 10 лет. Ему поставили диагноз: костная киста правой плечевой кости, выраженный болевой синдром. Нужна операция. К сожалению, продать мне нечего, обращалась в разные фонды, но помощи не получила. Собрать 40 тыс. грн. я никак не смогу. Помогите, пожалуйста, кто чем может! Будем вам очень благодарны!
Карта ПриватБанка: 4149 4390 0195 6956, Лукоянова Маргарита, тел. (050) 524 47 68.



